티스토리 뷰
목차
신장암 초기증상 중 가장 흔한 증상은 소변에 혈액이 섞여 나오는 혈뇨입니다. 하지만 순액량이 매우 적어 육안으로 확인하기가 어렵습니다. 이 외에 오줌 색이 붉은빛을 띤다면 신장에 문제가 있는지 체크해봐야 합니다.
신장암에 대해서
1. 신장암
낮은 사회 경제적 상태가 신세포암 발생과 관련이 있다는 보고도 있지만 그 위험도는 미미할 것으로 생각됩니다.현재까지의 연구에서 철강 관련 노동자 석유제품 및 석면사용 관련 직업, 섬유업종 관계자, 유기용매, 세탁용매 관련 노동자, 납과 카드뮴 등에 노출되는 직업의 종사자 등이 위험군이지만 그 연관성이 확실하지는 않습니다. 종합적으로 볼 때 특정 직업과 관련된 신세포암의 발생은 연관성이 있더라도 그 관련성이 약하여 장기간 노출의 경우에 위험도가 높아집니다.
술과 신세포암의 발생은 일부 보고에서 여성에게 적당량의 술 섭취가 신세포암 발생을 줄인다는 보고가 있었으나 논란이 있으며 남성의 경우 술과 신세포암 발생은 관련성이 없습니다.신체활동이 적은 사람은 규칙적인 운동을 하는 사람에 비해 신세포암 발생이 많다는 보고가 있으나 명확하지는 않고 커피나 차 등 음료수 섭취는 신세포암 발생과 관련이 없습니다. 또한 몇몇 연구에서 과일 및 채소류 섭취, 저 칼로 식이는 신세포암 발생의 위험도를 낮춘다고 밝혀졌습니다.
신세포암은 대장암이나 전립선암과 같이 식이와의 관련성이 매우 높은 암은 아니지만 여러 역학연구에서 과다한 동물성지방 섭취, 튀기거나 심하게 구워진 육류 섭취, 고에너지음식의 섭취 등이 신세포암 발생과 관련이 있는 것으로 보고되었습니다.
호르몬과 신세포암 발생과의 관련성은 동물실험에서 여성호르몬의 투여가 실험동물에게 신세포암을 발생시키고 신세포암 세포에 호르몬 수용체가 발견되는 것을 기초로 그 관련성이 대두되었습니다. 하지만 이후의 연구에서 호르몬 상태와 관련된 어떤 상황도 신세포암 발생과 관련이 없는 것으로 보고되었습니다.
대부분의 진통제 복용과 신세포암 발생과의 관련성은 별다른 관계가 없다고 밝혀졌습니다만 유일하게 현재는 사용하지 않으나 예전에 진통제로 사용되었던 페나세틴의 장기복용은 신세포암 및 신우암의 발생 위험도를 높이는 것으로 알려졌습니다.
고혈압은 여러 연구에서 신세포암 발생의 위험인자로 입증되었고 고혈압치료제와 신세포암 발생과의 관련성은 아직 논란이 많으나 주로 고혈압치료제보다는 고혈압자체와 더 관련이 있을 것으로 추정됩니다.과도한 비만은 신세포암 발생과 관련이 있고 여러 연구에 비만 정도가 심할수록 그 위험도가 높아진다는 것이 입증되었습니다.
신장암은 아직 밝혀지진 않았지만 흡연이 가장 큰 원인이 된다고는 합니다. 신장암의 약 30%는 흡연과 관련이 있으며 흡연자는 비흡연자에 비해 위험 가능성이 2배 높습니다.
우리몸에서 신장은 아주 중요한 기관입니다. 우리 몸의 필터역할을 하며 노폐물을 걸러 배출해주는 역할을 하지요. 또한 혈압에도 관여해 비타민 합성과 적혈구 생성 등 많은 일을 하게 되는데요. 이러한 신장에 발생하는 종양을 신장암이라고 합니다. 오늘은 신장암에 대해 알아보도록 하겠습니다.
또한 초기에 증상이 없고, 증상이 나타난 경우에는 암이 진행된 상태이기 때문에 40대 이후 중장년층은 1년에 1번씩 복부 초음파 검사 등으로 주기적인 검진을 하는 것이 중요하다.
신장암 관한 내용
2. 신장암 증상
신장암 발병과 관련 있는 가족력이 있는 사람 역시 정기적인 검진이 필요하다. 흡연은 신장암 등 갖가지 암의 위험요인으로 여겨진다. 신장암을 예방하기 위해 금연이 중요하다. 신선한 과일과 채소를 많이 섭취하고 동물성 지방 섭취를 줄이는 것도 좋다.
식이 조절과 규칙적인 운동을 통해 비만을 방지하는 것이 신장암 예방에 도움이 된다.최근에는 건강검진 등으로 저기에 발견되는 경우 발병 부위만 도려내고 정상적인 부분을 남겨 신장 기능을 유지시키는 부분 신적출술이 많이 시행된다. 그러나 수술 후 재발하는 경우에는 치료가 어렵다. 신장암은 방사선 치료나 항암 화학 요법의 효과가 없다. 그러므로 적절한 수술적 치료가 중요하다.
신장암의 가장 좋은 치료 방법은 수술을 통해 신장을 적출하는 것이다. 병기와 무관하게 신장을 적출할 수 있는 경우에는 신장과 그 주변을 감싸고 있는 지방조직, 부신을 포함해 광범위하게 적출하는 것이 일반적이다.
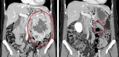
신장은 우리 몸에 2개 있으며 반대편 신장의 기능이 정상이라면 적출 후 정상적인 생활을 하는데 지장이 없다. 증상이 없어 건강검진 시에 신장의 종양이 우연히 발견되거나 다른 질병으로 검사하는 도중 발견되는 경우가 많다. 이외에도 체중 감소, 피로, 식욕 부진, 발열 등 증상이 나타날 수 있으며 다른 장기로 전이된 경우 폐나 뇌 질환이 나타나기도 한다.
신장암의 대표적인 증상으로는 옆구리 통증, 혈뇨, 배에 덩어리가 만져지는 것이다. 또 호흡곤란, 기침, 발작, 두통, 뼈의 통증, 고혈압, 간 기능 이상 등 부종양 증후군이 나타날 수 있다.종양의 크기가 작을 때는 대부분 증상이 없다. 증상이 나타나는 경우는 이미 종양의 크기가 커져 주위 장기를 압박하고 있으며, 첫 진단 시 30% 정도는 이미 전이된 상태다.
신장은 복부 장기의 제일 뒤쪽 그리고 좌우 양쪽에 위치하고 있다. 신장의 기능은 혈액을 여과해 소변을 생성하고 소변을 통해 노폐물을 배설한다. 또한 혈압조절 및 혈액 생산에도 관여한다.
이 신장에 발생한 악성 종양을 신장암이라고 부른다. 신장암은 발생 위치에 따라 신우암과 신세포암으로 구분된다. 신장암에서 발생하는 암의 85%는 신세포암이다.
신장암 5년 상대 생존율은 과거 64% 정도였으나 조기 발견, 영상 진단 보편화 등으로 인해 최근 85%까지 증가하였습니다. 성별에 따른 유의미한 생존율의 차이가 있지는 않습니다.
만약 다른 장기에 전이가 있거나 재발의 위험이 높은 신장암의 경우에는 수술적 치료와 함께 표적 치료, 면역 요법을 함께 시행하는 경우도 있습니다. 다발성 전이로 수술 치료가 도움이 되지 않다고 판단되는 경우는 표적 치료, 면역 요법만 시행하는 경우도 있습니다. 신장암의 완치를 위해서는 철저한 수술적 치료가 반드시 필요하며, 다른 장기로의 전이가 없는 신장암의 경우에는 개복 또는 복강경 등을 이용한 신장 적출 또는 부분 절제술을 시행합니다.
3. 함께 보면 좋은 정보
간암 증상과 생존율 살펴보기
목차 간암은 폐나 뼈로 전이가 많이 되므로 정기적인 점검이 필요하다. 재발이나 전이가 되더라도 치료 방법을 잘 선택하면 좋은 결과를 기대할 수 있는 만큼 어떤 경우에도 최선을 다한다는 마
sissa427.com
'정보방' 카테고리의 다른 글
| 식도암 증상과 생존율 자세히보기 (0) | 2022.12.22 |
|---|---|
| 좌골신경통 증상 및 치료방법 확인하기 (0) | 2022.12.22 |
| 성조숙증 증상과 원인 살펴보기 (0) | 2022.12.22 |
| 소화불량 원인과 증상 자세히보기 (0) | 2022.12.22 |
| 쇼그렌 증후군 증상과 완치 가능성 (0) | 2022.12.22 |
- Total
- Today
- Yesterday
- 편도결석 증상
- 아이폰15 사전예약
- cpr
- 심장판막증 증상
- 패혈증 증상
- 아이폰15 가격
- 아이폰15 성능
- 아이폰15 배터리
- 흉곽출구 증후군 증상
- 표피낭종 증상
- 폐결절 원인
- 감기 증상
- 구내염 원인
- 폐결절 증상
- 편도결석
- 불타는 트롯맨 투표
- 불타는 트롯맨 시청률
- 감기
- 흉곽출구 증후군
- 구내염
- 아이폰15 카메라
- 구내염 증상
- 흉곽출구 증후군 원인
- 편도결석 원인
- 피부암 전조증상
- 감기 원인
- 심장판막증 원인
- 패혈증
- 패혈증 원인
- 폐결절 치료법
| 일 | 월 | 화 | 수 | 목 | 금 | 토 |
|---|---|---|---|---|---|---|
| 1 | 2 | 3 | 4 | |||
| 5 | 6 | 7 | 8 | 9 | 10 | 11 |
| 12 | 13 | 14 | 15 | 16 | 17 | 18 |
| 19 | 20 | 21 | 22 | 23 | 24 | 25 |
| 26 | 27 | 28 | 29 | 30 | 31 |